以心会

急性膵炎・慢性膵炎

副院長:奥嶋一武

膵臓の病気について

膵臓という臓器は胃や腸に比べて一般的に認知度が低く、体のどこにあり、どのような働きをしているかご存じの方はあまり多くないと思います。また、膵臓の病気は胃潰瘍などの胃の病気と同じような症状を呈することも多く、胃痛を訴えて病院を受診された方が膵臓の病気だったということがしばしば見受けられます。そこで、膵臓について簡単に述べさせていただきます。膵臓は胃の後ろ側( 背中側です) にあり、十二指腸に繋がっています。そして、膵臓は内分泌機能と外分泌機能と呼ばれる体にとって2 つの重要な働きを担っています。内分泌機能とはインスリンやグルカゴンと呼ばれるホルモンを産生する機能のことで、糖代謝を担っています。糖代謝異常の病気で最も有名なものが糖尿病であり、日本人も多くの方がこの病気に苦しんでいます。一方、外分泌機能とは食物を消化するための膵液という液体を分泌する機能で、いくつかの消化酵素を含んでいます。その酵素の主なものはアミラーゼ、リパーゼ、トリプシンです。この機能が衰えると食物の消化や吸収が十分にできなくなります。


膵臓の代表的な病気である急性膵炎と慢性膵炎について述べます。

急性膵炎

急性膵炎とは、膵酵素が何らかの原因によって膵内で病的な活性化を受け、膵臓と周囲組織を自己消化する急性病変です。簡単に言えば、食物を消化するために膵臓が分泌する酵素が病的な状態になってしまったことによって、膵臓自身と膵臓の周囲にある組織を消化してしまう病気です。

原因・疫学

急性膵炎の原因は、アルコール過飲が約40%と最も多く、胆石が約25%、特発性(原因不明のことです)が約20%と言われています。


男女比は1:0 . 4 5 で男性に多く、男性は50歳代に最も多く発症し、女性は70歳代に最も多く発症しています。

症状

自覚症状は、腹痛が90%以上にみられ、悪心・嘔吐が20%、背部痛が15%にみられます。また、前屈みの姿勢になると腹痛が軽減する傾向があります。他には食欲不振、発熱、腹部膨満感などがみられることもあります。

診断および治療

急性膵炎が疑われる場合は、まず血液検査、腹部超音波検査、Ⅹ線CTなどの検査を行います。さらに膵炎の原因や重症度などによっていくつかの追加の検査が必要になります。


急性膵炎は通院では治療困難であり、緊急入院となる場合がほとんどです。絶食で、大量の点滴を連日行うとともに、いくつかの膵炎の治療薬を投与します。重症例では外科手術や血液濾(ろ)過透析が必要な場合もあります。治療期間は軽症で2~3週間、重症では数カ月に及ぶこともあります。


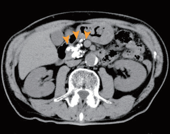
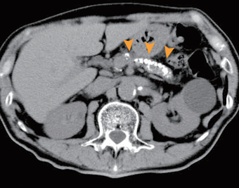
【急性膵炎】
膵臓の炎症がその周囲組織に波及している。

予後

軽症は2~3週間で改善し、膵機能障害などの後遺症が残ることは少ないです。しかし、重症例の致命率は8 . 9 % で、最も重症な場合の致命率は5 9 . 3 % です。急性膵炎は良性の疾患でありながら亡くなってしまう危険が高い恐ろしい病気です。

慢性膵炎

慢性膵炎はアルコール過飲などにより、膵臓に慢性の炎症が起こる病気で、徐々に進行して膵臓が荒廃していきます。慢性膵炎は現在の医療では治すことができないため、この病気にかかると死ぬまで病気に苦しめられることになります。

原因・疫学

慢性膵炎は40~50歳代に多く、男女比は1:0 . 2 6 で男性に多く発症する病気です。原因はアルコール過飲が70%と最も多く、次いで21%が特発性です。他の原因には胆石、遺伝、膵臓の奇形などがあります。

症状

慢性膵炎を発症してから10年前後の期間の主な症状は腹痛で約8 0 % の方にみられます。背中の痛みを伴うこともよくあります。他の症状としては吐き気、膨満感、腹部重圧感などがあります。普段は無症状ですが、飲酒や過食が誘因となり強い発作的な痛みを訴える場合も多くあります。また、少数例ですが全く痛みなどの自覚症状がなく、検診で発見される方もみえます。


発症して10~15年以上過ぎると腹痛などの疼痛は軽減していきます。そして、糖尿病と消化吸収障害が現れてきます。これは慢性膵炎が進行したために膵内分泌機能と膵外分泌機能が低下したことが原因です。慢性膵炎は進行性の病気のため、糖尿病や消化吸収障害は年月を追うごとに悪化していきます。


慢性膵炎は経過中に膵臓に結石が出来てきます。炭酸カルシウムの塊りで膵石と呼ばれます。膵石は疼痛や炎症の原因となり、慢性膵炎の進行を速めます。

診断および治療

慢性膵炎の診断には、血液検査、腹部超音波検査、Ⅹ線CTを行ないます。超音波またはCTで膵石があれば慢性膵炎の診断が確定します。膵石がない場合は、内視鏡やM R I を使って膵管と呼ばれる膵臓の中にある管の変化を調べる検査を行います。糖尿病や膵外分泌機能を調べる検査も行います。


治療としては、最も重要なのが禁酒です。内服薬は膵炎の痛みをコントロールするために病状に合わせて各種組み合わせて投与されます。糖尿病や消化吸収障害が出ればその治療薬も使います。


急性増悪と言って、急性膵炎の様な強い急性の炎症を伴うこともしばしばあり、この場合は急性膵炎と同様に入院治療が必要となります。


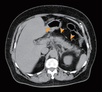
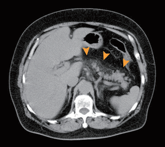
【進行した慢性膵炎、膵石症】
膵臓全体に膵石が多発している。

予後

慢性膵炎は癌が合併することが多いと言われており、死因の44%は悪性腫瘍です。最も多いのは膵癌で約24%です。他には肺癌が約13%、肝癌が約11%、大腸癌が約10%にあります。他に多い死因は脳血管障害、肝不全、腎不全、肺炎です。慢性膵炎で亡くなった方の平均寿命をみると男性は67.2歳、女性68.7歳であり、日本人の平均寿命よりも男性で10年、女性で16年ほど寿命が短くなっています。長年におよぶ過量の飲酒などの生活習慣の乱れが寿命を短くしている大きな原因です。慢性膵炎の完治は現在の医療ではできませんが、生活習慣の改善と適切な治療によって病気の進行を遅らせることは可能です。